O NAMA
USLUGE
BLOG
KONTAKT
Dijagnostički testovi
Temelj za dijagnozu i liječenje neplodnosti
Ultrazvuk i neplodnost
Hormonalni status i neplodnost
AMH i neplodnost
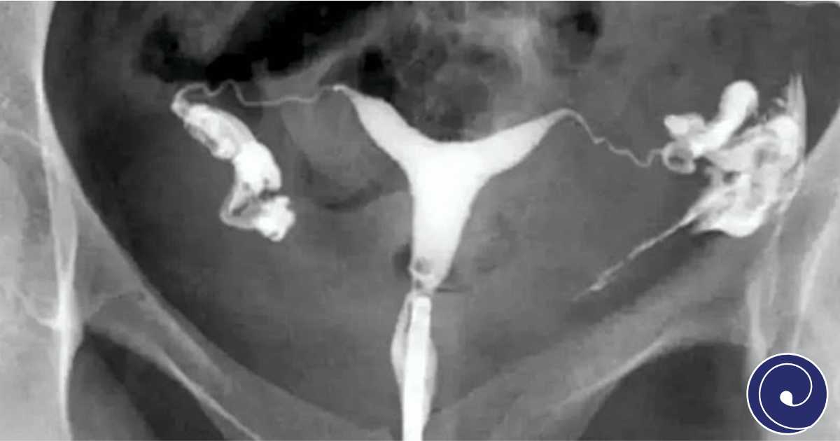
HSG (Histerosalpingografija)
SonoHSG
Histeroskopija i neplodnost
Laparoskopija u liječenju neplodnosti
Spermiogram
Kariotip i neplodnost
Delecija Y hromozoma i muška neplodnost
Sign In
Sign In